Русский
ՔԱՂԱՔԱԿԱՆՈՒԹՅՈՒՆ ՀԱՍԱՐԱԿՈՒԹՅՈՒՆ ՄՇԱԿՈՒՅԹ ՍՊՈՐՏ ՄԱՄՈՒԼԻ ՏԵՍՈՒԹՅՈՒՆ ՏՆՏԵՍՈՒԹՅՈՒՆ ՖՈՏՈ ՎԻԴԵՈ ՎԵՐԼՈՒԾՈՒԹՅՈՒՆՆԵՐ ՊԱՏՄՈՒԹՅԱՆ ԱՅՍ ՕՐԸ ՄԻՋԱԶԳԱՅԻՆ ԱՄԵՆԱԸՆԹԵՐՑՎԱԾ ԻՐԱՎՈՒՆՔ


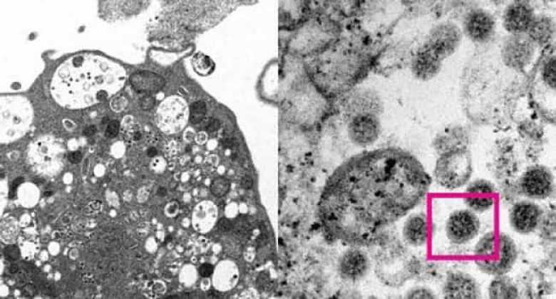
Ученые сфотографировали омикрон-штамм коронавируса

ՀԱՍԱՐԱԿՈՒԹՅՈՒՆ

Ученым из Университета Гонконга впервые удалось сфотографировать омикрон-штамм коронавируса. Об этом рассказывается на сайте научного учреждения.

Исследователи сделали электронную микрофотографию клетки (Vero E6) почки обезьяны, инфицированной коронавирусом омикрон-штамма. На ней они увидели повреждения с набухшими везикулами, содержащими вирусные частицы.

При сильном увеличении ученым удалось разглядеть скопления характерных сферообразных объектов с шипами в форме короны на их поверхности.

Грузия будет требовать медицинскую страховку для въезда в страну с 1 январяДело об избиении несовершеннолетнего в селе Зоракан передано в судНад базой атомных подлодок во Франции зафиксировали неопознанные дроныПрезидент Индии угостила Путина вегетарианским ужиномМы тут не причем: «Гражданский договор» прокомментировал уголовное преследование Аршака ХачатрянаПредстоятель епархии: Воскресную литургию в церкви «Сурб Йот Верк» в Гюмри совершат не служители епархииАзербайджанцы повредили монастырь «Сурб Аменапркич» XVII века в АрцахеТрамп выразил надежду, что сможет положить конец украинскому конфликтуДобыча полезных ископаемых — занятие не для глупых. «Паст».Почему бывший министр обороны «заговорил сейчас»? «Паст».«Почему стрелы были направлены именно в адрес “того, кто разнимает драку”. «Паст»«Это издевательство над государственностью». «Паст»Спорное положение закона – политическая дубинка. «Паст»Пашинян против Церкви: вместо борьбы с кризисом — борьба с Католикосом: «Паст»Пашинян: Вопрос Нагорного Карабаха был решен в 1996 г, просто никто нам об этом не говорилBloomberg: ЕС поставляет в Нигерию запрещенные пестициды, вызывающие ракПашинян: В документах по Карабаху есть детали, которые способны вызывать международные проблемыСША приостановили прием иммиграционных заявлений из 19 стран после стрельбы у Белого домаРютте: Австралия и Новая Зеландия подключились к закупкам оружия для УкраиныМинфин Армении: Расходы на нужды ряда министерств было решено увеличитьТатоян: Пять уроков, которые следует извлечь из публикации документов, связанных с Арцахским конфликтомБезопасная авантюра без «парашюта». «Паст»Отныне не «спонтанно», а организованно. «Паст».Откуда они взяли «голубиную» технологию? «Паст».Министр обороны РА принял участие в открытии выставки «EDEX 2025» в ЕгиптеАджапахян и Галстанян выступили с заявлением: Предлагаем прекратить полномочия непокорных предстоятелейЦена серебра обновила рекорд - $57,86 за унциюВ Ереване обрушилась часть здания бывшего фортепианного завода: есть пострадавшийЗаседание Антикоррупционного суда по делу о признанной антиконституционной статье продолжится 17 декабряЭдмон Марукян обратился к Католикосу всех армян: Прошу лишить сана Навасарда Кчояна«Альтернативные проекты»: Очень часто сложные вопросы имеют простые решенияАвтодороги на территории Армении в основном открыты для проезда транспортаWSJ: на переговорах во Флориде обсуждается «обмен территориями» и выборы в УкраинеSIPRI сообщил о рекордных доходах крупнейших производителей оружия в 2024 годуИтальянский пианист Антонио ди Кристофано выступит с сольным концертом в Ереване и проведет мастер-классы для армянских пианистов Почему Арман Татоян не участвовал в слушаниях по делу политзаключённых? «Паст»Просто решили не возбуждать уголовное производство — и… всё. «Паст»Где искать следы отмывания денег? «Паст»Индийский миллиардер привезёт свои редкие Rolls-Royce на ралли классических автомобилей в ОАЭФильм про адвоката Армена Мерджяна покажут на DOC NYCПесков: Россия ведёт переговоры по урегулированию на Украине только с СШААндрей Ермак подал в отставку с должности главы офиса президента УкраиныАрмянские спортсмены завоевали четыре медали на Сурдолимпийских играх 2025 в ТокиоСША намерены пересмотреть грин-карты, выданные лицам, иммигрировавшим из 19 странДвое военнослужащих-контрактников пострадали в результате взрыва мины в ВарденисеПолицейский на автостоянке Первопрестольного Эчмиадзина заснял номерной знак одной из машинОбыски у главы офиса Зеленского начались после заявлений об отказе на территориальные уступкиПропагандистские пузыри, которые не выдерживают и нескольких минут: «Паст»Почему циркулируют «николовские нарративы»? «Паст»Генерирует ненависть и вражду против всех, вносит раскол: «Паст»
Самое популярное