Հայերեն
ՔԱՂԱՔԱԿԱՆՈՒԹՅՈՒՆ ՀԱՍԱՐԱԿՈՒԹՅՈՒՆ ՄՇԱԿՈՒՅԹ ՍՊՈՐՏ ՄԱՄՈՒԼԻ ՏԵՍՈՒԹՅՈՒՆ ՏՆՏԵՍՈՒԹՅՈՒՆ ՖՈՏՈ ՎԻԴԵՈ ՎԵՐԼՈՒԾՈՒԹՅՈՒՆՆԵՐ ՊԱՏՄՈՒԹՅԱՆ ԱՅՍ ՕՐԸ ՄԻՋԱԶԳԱՅԻՆ ԱՄԵՆԱԸՆԹԵՐՑՎԱԾ ԻՐԱՎՈՒՆՔ


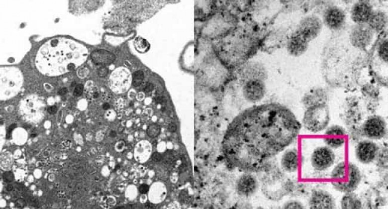
Գիտնականները լուսանկարել են կորոնավիրուսի օմիկրոն շտամը

ՀԱՍԱՐԱԿՈՒԹՅՈՒՆ

Հոնկոնգի համալսարանի գիտնականներին հաջողվել է առաջին անգամ լուսանկարել կորոնավիրուսի օմիկրոն շտամը։ Այս մասին տեղեկացվում է գիտական հաստատության կայքում։

Հետազոտողները կատարել են կորոնավիրուսի օմիկրոն շտամով վարակված կապկի երիկամի բջջի (Vero E6) էլեկտրոնային միկրոլուսանկար։ Դրանում նրանք տեսել են վիրուսային մասնիկներ պարունակող փքված վեզիկուլներով ախտահարումներ։

Բավական մեծացնելով լուսանկարը՝ գիտնականներին հաջողվել է տեսնել բնութագրական գնդաձեւ օբյեկտների կուտակումներ՝ մակերեսին թագի նման փշերով։

Տեսողությունը վերականգնող գենային թերապիայի ստեղծողներն արժանացել են նոր «Գիտական Օսկարի»Մալայզիայում խոշոր hրդեհը մեկ գիշերվա ընթացքում nչնչացրել է մոտ 1,000 տուն «Ռեալը» դիտարկում է Մոուրինյոյի թեկնածությունը Հայաստանի ու Ադրբեջանի հարաբերությունների կարգավորման հարցերը կարող են լուծվել առաջիկա ամիսներին․ ԲայրամովԿիևում տղամարդը փողոցում գնդшկաhարել է մի քանի մարդու և պատանդներ վերցրել «Արթիկ» ՔԿՀ-ում կանխվել է անօդաչու թռչող սարքի միջոցով 13 բջջային հեռախոսի և արգելված այլ պարագաների ներնետման փորձ13 ամենատարածված երազները և դրանց իրական նշանակությունը Դիլիջանի թունելում բախվել են «ԶԻԼ» բեռնատարը և «Hyundai Elantra»-ն․ վերջինը գլխիվայր շրջվել էԿենդանակերպի խորագիր․ ի՞նչ են նշանակում անձնական մոլորակները ծննդյան քարտեզում Իրանի ռազմածnվային ուժերը պատրաստ են կրկին պարտության մատնել ԱՄՆ-ին և Իսրայելին․ ԽամենեիՉարենցավանի տարածքում հրդեհ է բռնկվել «Chevrolet»-ում Ուկրաինայի շուրջ բանակցությունների վերսկսումը գերակա խնդիր չէ․ Ռուսաստանը ոչ մեկին բանակցություններ չի պարտադրում․ ԼավրովՄասշտաբային խարդախություն` Փարիզում. բացահայտվել է ՊՍԺ-ի խաղերի տոմսեր կեղծող խմբավորում Իմ ներկայացուցիչները մեկնում են Իսլամաբադ՝ բանակցությունների. եթե Իրանը չընդունի գործարքը, ԱՄՆ-ը շարքից դուրս կբերի Իրանի բոլոր էլեկտրակայանները և կամուրջները․ Թրամփ Զգուշացում․ Ինչ է սպասվում մայիսի 3-5-ը Արտարժույթների փոխարժեքները՝ ապրիլի 19-ի դրությամբ Իսրայելի էքսպանսիայի հարցը ամբողջ աշխարհի անվտանգության հարցն է․ Ֆիդան Արմեն Բաբալարյանը՝ 2025-ի Եվրոպայի հունահռոմեական ոճի ըմբշամարտի լավագույն մարզիչ Մադրիդի «Ատլետիկոյի» գլխավոր մարզիչը մեկնաբանել է Իսպանիայի Գավաթի եզրափակչում «Ռեալ Սոսյեդադից» կրած պարտությունը Թուրքիան արդեն իսկ անցկացրել է ՌԴ-ի և Ուկրաինայի միջև բանակցություններ և պատրաստ է դա անել կրկին. Ֆիդան Թրամփը խղճուկ փորձ է ձեռնարկել՝ Իրանում պшտերազմի միջոցով հանրության ուշադրությունը շեղելու Էփշթեյնի գործից. Քամալա Հարիս ԱՄՆ-ին ոչ ոք իրավունք չի տվել Իրանին զրկել միջnւկային ծրագրի իրականացումից. Փեզեշքիան 1 զոհ, 2 վիրավոր. ողբերգական ավտովթար Արարատի մարզում Նիկոլ Փաշինյանը ներկա է գտնվել Հյուսիս-հարավ ճանապարհի Աշտարակից դեպի Գյումրի հատվածի բացմանը (լուսանկարներ) Մալխաս Ամոյանը ճանաչվել է 2025-ի Եվրոպայի հունահռոմեական ոճի լավագույն ըմբիշ Իրանը դեռ մտադիր չէ վերսկսել առկա ուսուցումը Իրանը չի պլանավորում հարստացված ուրան ուղարկել ԱՄՆ. Իրանի ԱԳ փոխնախարար Երևան-Սևան ավտոճանապարհին բшխվել են «Nissan», «Skoda» և «Opel» մակնիշների ավտոմեքենաները Թուրքիան կառուցում է Զանգեզուրի միջանցքըՀանրապետության տարածքում սպասվում են տեղումներ Երևանի դպրոցներից մեկում 15 և 14-ամյա տղաները միմյանց փոխադարձ հարվածներ են հասցրել Բելառուսում կան շատ խելացի մարդիկ, որոնք ապագայում կարող են գլխավորել պետությունը. Լուկաշենկո Հայաստանը 16 ծանրորդով կմասնակցի Եվրոպայի 2026 թվականի առաջնությանը Իրանը չի պլանավորում հարստացված ուրան ուղարկել ԱՄՆ. Իրանի ԱԳ փոխնախարար Հայաստանին կոչ են արել դուրս չգալ ԵԱՏՄ-ից. «Մեզ ԵՄ–ն չի ողջունում»Հրդեհ Թաիրով գյուղում. այրվել է փայտե քոթեջ Արման Ծառուկյանը Յուրայ Ֆայբերի հետ մենшմարտnւմ հաղթել է 13։1 հաշվով Երևանում 22-ամյա վարորդը, ոչ սթափ, չունենալով ավտոմեքենա վարելու իրավունք, Նար-Դոսի փողոցում «BMW»-ով հայտնվել է մայթին Վաշինգտոնում տեղի ունեցած պատմական իրադարձությունը շրջադարձային կդառնա ոչ միայն Հայաստանի և Ադրբեջանի, այլև ողջ տարածաշրջանի համար. Կոստանյանը՝ Անթալիայում Ռուսաստանը կսահմանափակի հայկական կոնյակի մատակարարումները Փաշինյանի Պուտինին ուղղված ժողովրդավարության և ինտերնետի արգելափակման վերաբերյալ հայտարարություններից հետոՀյուսիսային Կորեան մի քանի բալիստիկ hրթիռ է արձակել իր արևելյան ափամերձ ջրերում «Ռեալ Սոսյեդադը»՝ Իսպանիայի գավաթակիր Փրկարարները հայտնաբերել են մոլորված քաղաքացիներին և ուղեկցել իրենց բնակավայր Հայաստանի ավտոճանապարհների վիճակը Ապրիլի 19-ի առավոտյան Հայտնի է դարձել, թե ինչու է Թրամփը հրաժարվել Իրանի Խարգ կղզին գրավելու գաղափարից Մարշալ Բաղրամյանը զարմանքից կքարանար. Հայաստանը օգնություն է ուղարկել բանդերական ՈւկրաինայինՄեծ Եղեռնի ժամանակ սկսվել է Վանի հերոսամարտը․ պատմության այս օրը (19 ապրիլ)Սպասվում է անձրև․ օդի ջերմաստիճանը կբարձրանա Իրանը հայտնել է ԱՄՆ-ի և Իսրայելի կողմից իրականացված հարվածների հետևանքով մոտ 3500 զոհի մասին ՀՊԼ. «Արարատ»-ը խաղի վերջնամասում խփած գոլի շնորհիվ հաղթեց «Փյունիկ»-ին
Ամենադիտված