Հայերեն
ՔԱՂԱՔԱԿԱՆՈՒԹՅՈՒՆ ՀԱՍԱՐԱԿՈՒԹՅՈՒՆ ՄՇԱԿՈՒՅԹ ՍՊՈՐՏ ՄԱՄՈՒԼԻ ՏԵՍՈՒԹՅՈՒՆ ՏՆՏԵՍՈՒԹՅՈՒՆ ՖՈՏՈ ՎԻԴԵՈ ՎԵՐԼՈՒԾՈՒԹՅՈՒՆՆԵՐ ՊԱՏՄՈՒԹՅԱՆ ԱՅՍ ՕՐԸ ՄԻՋԱԶԳԱՅԻՆ ԱՄԵՆԱԸՆԹԵՐՑՎԱԾ ԻՐԱՎՈՒՆՔ


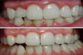
Ճի՞շտ է արդյոք հեռացնել ԻՄԱՍՏՈՒԹՅԱՆ ատամները.

ՎԻԴԵՈ

Մանրամասներիհամար՝ այստեղ

 

Ճի՞շտ է արդյոք հեռացնել ԻՄԱՍՏՈՒԹՅԱՆ ատամները.

Կասեցվել է Արդենիս գյուղում գործող կաթնամթերքի արտադրամասի գործունեությունը․ ՍԱՏՄ Նարեկ Մկրտչյանը՝ ծանրամարտի երիտասարդների աշխարհի առաջնության արծաթե մեդալակիր Թուրքիայի նախկին ԱԳ նախարարի եղբոր դեմ մաhափորձ է եղել Ծանոթ ու միարժամանակ անհայտ … ճապոնական գերբ ՃՏՊ՝ Արարատի մարզումԱրտակարգ դեպք՝ Արագածոտնում․ 20-ամյա երիտտասարդ է վիրավորվել«Փաշինյանը Ռուսաստանի թշնամիներին հավաքելով Երևանում չլսեց Պուտինի նախազգուշացումները» «Փաշինյանը ռուսներին ավելորդ է հայտարարել. Ռուսական սահմանապահ զորքերը սպառնալիքի տակ են» Ապարանում և Նահապետավանում ձյուն է եկել24 ժամից ավելի ջուր չի լինիՌուբեն Հակոբյանը տնային կալանքից ազատվեցՂարաբաղյան առաջին պատերազմի ժամանակ Ոսկեպարում սպանել են 18 ոստիկանի․ պատմության այս օրը (06 մայիս)Երիտասարդության ձայնը փոփոխության պահանջ է․ Սամվել Կարապետյանի ուղերձը Ադրբեջանի տարածքով Հայաստան կրկին պարարտանյութ ու հացահատիկ է ուղարկվում Չավին կարող է անգլիական թոփ ակումբ գլխավորել «Քանի դեռ նրանք գերության մեջ են, դուք էլ եք գերության մեջ». Ռոբերտ Ամստերդամի կոշտ ուղերձը Երևանից Ինչ եղանակ է սպասվում Որ հասցեներում այսօր լույս չի լինի Ինչ է հայտարարագրել վարչապետի օգնական Կարինե Դավոյանը. «Ժողովուրդ» ՔՊ շարքերում խուլ դժգոհություն կա. «Հրապարակ» ԶՈՒ-ում ահազանգող պատկեր է․ կարգապահական խնդիրները խորացել են. «Ժողովուրդ» ՔՊ-ն մտադիր է իր նախընտրական քարոզարշավը սկսել Սյունիքից. «Հրապարակ» Ներկայում գործը գտնվում է դատարանում և պետք է քննվի գրավոր ընթացակարգով, սակայն արդյունավետ կլինի այն քննել բանավոր ընթացակարգով, որպեսզի այս բոլոր հարցերը, որոնք ունեն նաև հանրայինQR կոդերի սկանդալով ոչ միայն դատախազությունը, այլև դատարանն է զբաղվում. հայցի քննություն. Ժողովուրդ Զելենսկու հետ ԱԹՍ-ների գծով կհամագործակցեն. «Հրապարակ» ՀՀ-ում 65 տարին լրացած պաշտոնյան կշարունակի աշխատել 3 երիտասարդ գողացել են 224 գլուխ ոչխար․ Շենգավիթի համայնքային ոստիկանների բացահայտումըԵՄ-ն ամենաբարձր մակարդակով կոչ է անում և հրավիրում տնտեսվարողներին ներդրումներ անել ՀՀ-ում. Նիկոլ ՓաշինյանՉինաստանում հրավառության գործարանում պայթյnւն է տեղի ունեցել. կան զnhեր և վիրավnրներՕսկարը պատերազմ է հայտարարում արհեստական ​​բանականությանը. Ակադեմիան արգելում է «արհեստական» դերասաններին և սցենարիստներին մրցել գլխավոր մրցանակների համարՍերբիայի Սուպերլիգայի 34-րդ տուրում «Ցրվենա Զվեզդան» հաղթեց «Չուկարիչկիին»․ Թիկնիզյանը դարձել է գոլային փոխանցման հեղինակՄակրոնի աջակցությունը Փաշինյանին. միջամտություն Հայաստանի ներքին գործընթացներին Ժողովրդավարությունը մեզ համար հանգամանքների պատահական բերում չէ, այլ ռազմավարություն է. ՀՀ-ԵՄ հարաբերությունը ևս մեկ քայլով բարձրացնում ենք. ՓաշինյանՔիմ Քարդաշյանը կրկին ցնցել է Met Gala-ն. սկանդալային «կաշվե» կերպար՝ էրոտիկ նախապատմությամբ Հայաստանը և Եվրամիությունն այժմ ավելի մոտ են, քան երբևէ. Ուրսուլա ֆոն դեր Լայեն Եվրամիությունն ավելի շատ ունի Թուրքիայի կարիքը, քան Անկարան՝ նրա. Էրդողան Առնվազն հինգ մարդ է զnhվել Հորմուզի նեղուցում երկու բեռնատար նավի վրա ԱՄՆ-ի hարձակման հետևանքով. TasnimԱՄՆ-ը պետք է զգուշանա չարակամների կողմից նորից ճահճի մեջ քաշվելուց. Արաղչի Անհրաժեշտ է, որ հրադադարը պահպանվի և հարգվի․ Պակիստանի վարչապետ ՆԳՆ փրկարար ծառայության ներկայացուցիչները Թբիլիսիում միջսահմանային վարժանքի են մասնակցել Սպիտակ տան մոտ հրաձգություն է տեղի ունեցել ԱՄՆ-ն հարվածել է թմրանյութ տեղափոխող նավի Ա.Մ.-ն վիրավորել էր դատավարության մասնակից հանդիսացող հանրային մեղադրողին․ նոր մանրամասներ Իսրայելն ու «Հըզբոլլահ»-ը միմյանց հարվածներ են հասցրել Լիբանանում Մոսկվայի բոլոր օդանավակայանները դադարեցրել են չվերթերը ԵՄ-ն քարտ-բլանշ է տալիս ՓաշինյանինԿրակnցներ՝ Երևանում. հիվանդանոց տեղափոխված տղամարդը մաhացել է․ Shamshyan Իսրայելը սպանել է «Համաս»-ի ստորաբաժանման հրամանատարի Թուրքիան ծաղրեց Փաշինյանին՝ խախտելով կանոնակարգը «Սա հնարավորություն է ստեղծում ընդլայնելու համագործակցությունը». Կալասն ու Բայրամովը հանդիպել են Ջերմուկում հայտնաբերված կարմիրգրքյան գորշ արջի քոթոթները տեղափոխվել են ապաստարան․ ԲԸՏՄ
Ամենադիտված