Հայերեն
ՔԱՂԱՔԱԿԱՆՈՒԹՅՈՒՆ ՀԱՍԱՐԱԿՈՒԹՅՈՒՆ ՄՇԱԿՈՒՅԹ ՍՊՈՐՏ ՄԱՄՈՒԼԻ ՏԵՍՈՒԹՅՈՒՆ ՏՆՏԵՍՈՒԹՅՈՒՆ ՖՈՏՈ ՎԻԴԵՈ ՎԵՐԼՈՒԾՈՒԹՅՈՒՆՆԵՐ ՊԱՏՄՈՒԹՅԱՆ ԱՅՍ ՕՐԸ ՄԻՋԱԶԳԱՅԻՆ ԱՄԵՆԱԸՆԹԵՐՑՎԱԾ ԻՐԱՎՈՒՆՔ


Ինչպե՞ս հեռացնել ատամնաքարերը տնային պայմաններում և ունենալ առողջ ու ձյունաճերմակ ատամներ

ԱՄԵՆԱԸՆԹԵՐՑՎԱԾ

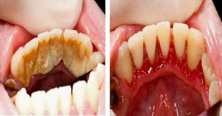
Երբ գործը հասնում է ատամնաքարերը հեռացնելուն, որոնք կարող են պերիդոնտիտի առաջացման պատճառ դառնալ, լավագույն տարբերակը ատամնաբույժին այցելելն է: Սակայն կա մի այլընտրանքային տարբերակ, որը հնարավորություն է տալիս ազատվել այդ խնդրից տնային պայմաններում:

Անհրաժեշտ բաղադրիչներն են.

·  ատամի խոզանակ,

·  բաժակ,

·  ջուր,

·  ստոմատոլոգիական զոնդ,

·  ջրածնի պերօքսիդ,

·  կերակրի սոդա (ատամնափառը հեռացնելու ամենատարածված բաղադրիչը),

·  կերակրի աղ,

·  հակասեպտիկ՝ բերանի խոռոչը ողողելու համար :

Օգտագործման եղանակը.

Բաժակի մեջ խառնել մեկ ճաշի գդալ սոդան և ½ ճաշի գդալ աղը: Ստացված խառնուրդի մեջ թաթախել ատամի խոզանակը և շրջանաձև շարժումներով մաքրել ատամները: Խառնուրդի մնացորդները ոչ մի դեպքում չի կարելի կուլ տալ: Այս կերպ անհրաժեշտ է մաքրել ատամները 5 րոպե:

Այնուհետև անհրաժեշտ է պատրաստել լուծույթը՝ խառնելով կես բաժակ գոլ ջուրը և մեկ բաժակ ջրածնի պերօքսիդը: Ստացված լուծույթով լվանալ ատամները, իսկ վերջում ողողել բերանի խոռոչը մի բաժակ սառը ջրով:

Վերոնշյալ գործողություններից հետո անհրաժեշտ է ատամնաբուժական զոնդի օգնությամբ զգուշորեն մաքրել ատամնաքարերը, սակայն դա պետք անել չափազանց ուշադիր, որպեսզի լնդերը չվնասվեն:

Մաքրումից հետո բերանի խոռոչը պետք է ողողել հակասեպտիկ միջոցով: Այս գործընթացը պետք կրկնել 2 օր հետո և շարունակել նույն կերպ, մինչև ցանկալի արդյունքի հասնելը:

Ի՞նչ անել առողջ ու ձյունաճերմակ ատամներ ունենալու համար

Մրգեր ու բանջարեղեն

Վիտամին C-ն սպիտակեցնում է ատամները, իսկ մրգերն ու բանջարեղենը, այդ թվում նաև ելակն ու լոլիկները, անչափ հարուստ են այդ վիտամինով:

Ատամնաքարը փափկեցնելու համար կարելի է ատամները տրորել մրգերով, իսկ հետո ողողել սոդայի ու ջրի լուծույթով:

Կաթնամթերք

Կաթնամթերքի մեջ ամենաուժեղ չեզոքացնողը պանիրն է: Այն չեզոքացնում է ատամնափառ առաջացնող թթուները:

Բացի այդ, բերանի խոռոչի հիգենայի պահպանման համար անհրաժեշտ է ամեն օր քնելուց առաջ անպայման լվանալ ատամները: Ատամները լվանալուց հետո կարելի է տրորել դրանք նարնջի կեղևով, բայց չողողել, քանի որ այդպես կառաջանան բակտերիաներ:

Նաև անհրաժեշտ է ստուգել ատամների միջև տարածությունը և հետևել լնդերի գույնին:

Մեկ շաբաթում գրանցվել է 469 դեպք, որից 172-ը՝ արտակարգ Քրեական ոստիկանության Արմավիրի մարզային վարչության երկու բացահայտում․ հայտնաբերվել է մեծ քանակի թմրամիջոց Փաշինյանի և Բաքվի խոսույթները նույնական են դարձելԿոտայքի մարզային քննչական վարչության պետի տեղակալ է նշանակվել Իրանի հարցով միջնորդները վերջին ջանքերն են գործադրում 45-օրյա հրադադար հաստատելու առաջարկի շուրջ Ծանոթ ու միաժամանակ անհայտ … սերֆինգ Մի շարք հասցեներում գազամատակարարման ընդհատում կինի««Եվրոպան չի փոխարինի Ռուսաստանին». Հայաստանին սպասվում է տնտեսական փլուզում առանց ԵԱՏՄ-ի»ՃՏՊ Կոտայքի մարզումԶգուշացման ուղերձ Մոսկվայից․ ի՞նչ է թաքնված Պուտին-Փաշինյան բանակցությունների հետևում «Փաշինյանի գլխարկը. ՀՀ վարչապետը իմիջային աղետի է ենթարկվել»Երևանի և մարզերի մի շարք հասցեներում էլեկտրաէներգիայի ընդհատումներ կլինեն Համախմբման տրամաբանություն․ ընդդիմադիր դաշտում ձևավորվող նոր կենտրոնը Սասունի ինքնապաշտպանական կռիվների ժամանակ թուրքերն անցել են լայնածավալ հարձակման. պատմության այս օրը (06 ապրիլ)Ռուբլին թանկացել է․ փոխարժեքն՝ այսօրԹրամփը բախվել է փակուղային իրավիճակի. պատերազմը պետք է դադարեցվի իրանական պայմանների հիման վրա Խոշոր հրդեհ՝ ՀայաստանումԱդրբեջանում տղամարդը մահացել է որդու հարսանիքի ժամանակ Սառույցների մեջ հայտնաբերվել է «կյանքի կղզի»․ ռուս գիտնականները օազիս են բացահայտել ԱնտարկտիդայումԻրանն ի պատասխան ԱՄՆ-ի և Իսրայելի սպառնալիքների «մեծ անակնկալ» է խոստացել Իրանի օդային տարածքը փակ կմնա առնվազն մինչև ապրիլի 12-ը. ТАСС Աշխարհի ամենաթանկ դարպասապահների տասնյակը Մուտք են գործել «Նոր Ձորաբերդ» ռեստորան և այնտեղից գnղություն կատարել․ վնաuը կազմում է մոտ 6 մլն դրամՍանկտ Պետերբուրգի ծննդատանը կինը լույս աշխարհ է բերել միանման երկվորյակ աղջիկների քառյակՆալբանդյան գյուղում բшխվել են VAZ» և «Opel» մակնիշների ավտոմեքենաները. «VAZ» մակնիշի ավտոմեքենայում hրդեh է բռնկվելՄարտի 2-ից Լիբանանին hասցված իսրայելական hարվածների զnhերի թիվը գերազանցել է 1,422-ըՄասիս-Նորամարգ ավտոճանապարհին բшխվել են «Hyundai Elantra»-ն և «Mercedes»-ը․ կան վիրավnրներՀորոսկոպ. Ի՞նչ են իրականում ցանկանում տարբեր նշանների կանայք Կրեմլում պարզաբանել են, թե ինչու է Պուտինի և Փաշինյանի զրույցը փակ բնույթ կրել Աշխարհի երեք առաջնություն բաց թողնելը լիակատար ձախողում է․ Մալդինի Իրանի դեմ պшտերազմը խանգարում է Ուկրաինային․ Զելենսկի Ազովի ծովում խորտակվել է հացահատիկով բեռնված նավ. կա զnհ և անհետ կորածներ Երեքշաբթին Իրանում կլինի էլեկտրակայանների և կամուրջների օր, բացեք անիծյալ նեղուցը․ Թրամփ Իսրայելը hարվածներ է հասցրել Բեյրութի արվարձանի բնակելի շենքերին Ի՞նչ փոխարժեքներ են սահմանվել այսօր՝ ապրիլի 5-ին Հուսով եմ, որ Բուշերի ատոմակայանում աշխատող ռուսաստանցիները գիշերը կժամանեն Հայաստան․ Լիխաչով Իսրայելը օգնել է ԱՄՆ-ին իրանցիների կողմից խոցված F-15 ինքնաթիռի օդաչուի փրկարարական գործողության ժամանակ․ Fox News Հայաստանը ըմբռնում է ցուցաբերել Ռուսաստանի մտահոգությունների շուրջ․ Լավրով Ջուր չի լինի որոշ ժամանակ Պետք է ընդունել պարտությունն ու Չեմպիոնների լիգայի խաղին մեկնել պարզ գլխով. Արտետա Սերբիայի գազային ենթակառուցվածքների վրա նախապատրաստվող հшրձակումը կանխվել է. Վուչիչ Երևանը հասկանում է ԵԱՏՄ-ի և Եվրամիության միաժամանակյա անդամ լինելու անհնարինությունը, ինչը կարևոր է․ Պեսկով Ղարաբաղի պատկանելության մասին որոշումը Երևանն է կայացրել, Մոսկվան այստեղ կապ չունի․ Պեսկով Թաց ձյուն, ժամանակ առ ժամանակ անձրև. եղանակն այս օրերին Արցախյան պшտերազմից տարիներ անց տագնապներն ու մտահոգությունները չեն լքում մեր սրտերը․ մեր ժողովուրդը լավագույնս գիտի արժեքը խաղաղության, որի համար ազգիս զավակները վճարել են իրենց կյանքով․ Գարեգին Բ Թող Հարության լույսը զորացնի մեր հավատը սեփական ուժերի հանդեպ և ուղենշի մեզ դեպի երկարատև խաղաղություն ու արժանապատիվ զարգացում․ Վահագն Խաչատուրյան Ամերիկացի օդաչուների փրկարարական առաքելությունը ձախողվել է․ երկու ուղղաթիռ է խփվել․ կենտրոնական հրամանատարության խոսնակ Իսպանական Լա Լիգայի 30-րդ տուրում «Բարսելոնան» հաղթեց «Ատլետիկոյին» Նացիստների սարսափը. Խորհրդային աս Նելսոն Ստեփանյանին են մեծարել Հայաստանում Փաշինյանը թռել է Պուտինի մոտ և խոսել «ժողովրդավարության» մասին
Ամենադիտված