Հայերեն
ՔԱՂԱՔԱԿԱՆՈՒԹՅՈՒՆ ՀԱՍԱՐԱԿՈՒԹՅՈՒՆ ՄՇԱԿՈՒՅԹ ՍՊՈՐՏ ՄԱՄՈՒԼԻ ՏԵՍՈՒԹՅՈՒՆ ՏՆՏԵՍՈՒԹՅՈՒՆ ՖՈՏՈ ՎԻԴԵՈ ՎԵՐԼՈՒԾՈՒԹՅՈՒՆՆԵՐ ՊԱՏՄՈՒԹՅԱՆ ԱՅՍ ՕՐԸ ՄԻՋԱԶԳԱՅԻՆ ԱՄԵՆԱԸՆԹԵՐՑՎԱԾ ԻՐԱՎՈՒՆՔ


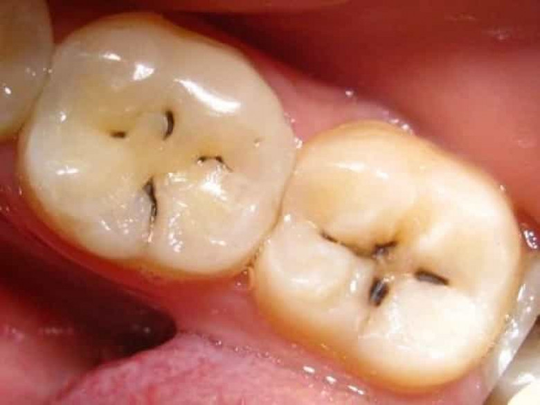
Բժիշկները թաքցնում են սա. ազատվեք կարիեսից մեկ բաղադրիչի օգնությամբ

ԱՄԵՆԱԸՆԹԵՐՑՎԱԾ

Կարիեսն ատամի կոշտ հյուսվածքներում ընթացող բարդ, դանդաղ պաթոլոգիական գործընթաց է, որն առաջանում է անբարենպաստ արտաքին և ներքին գործոնների հետևանքով:

Խոռոչների վնասվածքի առաջացման վրա ազդող հիմնական գործոններն են՝ բերանի խոռոչի անբավարար հիգիենան, ծխելը, սթրեսը, սննդի շատ օգտագործումը, շաքարով հարուստ մթերքների օգտագործումը և այլն:

Որպես կանոն՝ կարիես ունեցող ատամը ոչ մի կերպ չի տարբերվում, և կարող եք նույնիսկ չիմանալ, որ կարիես ունեք: Սակայն որոշ ժամանակ անց կարիեսով վնասված ատամը կարող է սկսել քայքայվել և առաջացնել ատամի ցավ, զգայնություն սառը կամ տաք սննդի նկատմամբ: Այս նշանների առաջացման դեպքում պետք է անհապաղ արդյունավետ բուժում ձեռնարկեք կարիեսից ազատվելու համար:

Հակառակ դեպքում կարող եք կորցնել ատամը: Ամենակարևոր բաղադրիչներից մեկը, որի կարիքն ունեն ատամները, կալցիումն է: Բոլորս գիտենք, որ կալցիումի ամենահարուստ աղբյուրը ձվի կեղևն է: Եթ կարիեսի խնդիր ունեք, ձեզ պետք կլինի ձվի կեղևից ատամի մածուկ:

Վերցրեք քառորդ բաժակ փոշիացրած կեղև, որը կարող եք ստանալ կեղևը բլենդերով մանրացնելով: Այդ փոշին խառնեք մի քանի կաթիլ անանուխի յուղի և 2 ճ. գ. կոկոսի յուղի հետ: Լավ խառենք բոլոր բաղադրիչները, ավելացրեք 1 ճ. գ. կերակրի սոդա: Շարունակեք խառնել բաղադիչները, մինչև մածուկ ստացվի:

Մածուկը պահեք լավ փակած տարայով: Մածուկն օգտագործեք օրը 3 անգամ և կազատվեք ատամնաբուժական խնդիրներից:  

Կյանքից հեռացել է Արտավազդ Սահակյանը Ալիևը նոր պահանջներ է դնում, իսկ Փաշինյանը ձկան պես լուռ էՋերմաստիճանը կնվազիՓաշինյանը փորձում է խափանել Եպիսկոպոսաց ժողովը Meta-ն սկսել է արգելափակել դեռահասների հաշիվները․ Ավստրալիան կարծում է՝ արգելափակումը կարող է դառնալ գլոբալ փոփոխության պատճառ Բրիտանական ազդեցությունը աճում է Հարավային Կովկասում Ժամեր շարունակ ջուր չի լինի1 զոհ, 1 վիրավոր․ 29-ամյա կին վարորդը եղել է ոչ սթափ. նոր մանրամասներԵՄ-ն ՏՏ ոլորտում սահմանում է անիրագործելի կանոններ․ ԴուրովԹուրքիան և Հայաստանը քննարկել են Կարս-Գյումրի երկաթուղային ծառայության վերականգնման հարցը Բրյուսելում հիշել են «Մոլդովայի օրինակը» և խոստացել «աջակցել» Հայաստանին. նախընտրական ի՞նչ գումարներ է ուղարկում ԵՄ-ն. «Փաստ»Գաբրելյանով. Փաշինյանը վերահսկողության տակ է վերցրել ռուս ազգության մարդկանցՀԷՑ-ի լիցենզիայի չեղարկումը՝ քաղաքական ճնշման և գույքի բռնազավթման վտանգավոր նախադեպ Պայքարեք Ռուսաստանի դեմ «մինչև վերջին հայը». Կալլասը քաղաքական թակարդ է դրել Փաշինյանի համար. Ի՞նչ կանի Երևանը Աշխարհաքաղաքական վեկտորները՝ ուկրաինական պատերազմի ֆոնին. «Փաստ»Նոր և բարձր փոխարժեքներ՝ տարադրամի շուկայումԵկեղեցու վրա նոր ճնշումը՝ պետության ներգործության վտանգավոր սահմանում Հայաստանը ուղարկվել է Մոլդովայի ճանապարհով Եթե Փաշինյանը հաջողության հասնի, Բաքվի և Անկարայի դիրքերն ակնհայտորեն կամրապնդվեն. «Փաստ»Երկուշաբթի օրվա անջատման հասցեներըԿայացել է սահմանադրական փոփոխությունների հանրաքվե․ պատմության այս օրը ( 06 դեկտեմբեր)«Դավիթս ասում էր՝ երազանքս է, որ Ղարաբաղում ծառայեմ». Դավիթ Չաքրյանն անմահացել է հոկտեմբերի 16-ին. «Փաստ»Ողբերգական վթար․ 7 մեքենաներ են բախվելԻ՞նչն է Հայաստանում խանգարում կինոինդուստրիայի զարգացմանը. «Փաստ»Վտանգավոր հուշագիր. ինչի՞ց է իրականում տուժում Հայաստանը. «Փաստ»«Հրապարակված փաստաթղթերով իշխանության՝ մինչ այժմ առաջ քաշած թեզերը հօդս են ցնդել». «Փաստ»Խնայբանկում դրամական ավանդներ ունեցած ո՞ր քաղաքացիները փոխհատուցում կստանան 2026 թվականին. «Փաստ»Հաջորդ իշխանությունը ստիպված է լինելու ամեն ինչ սկսել զրոյից. «Փաստ»Չի բացառվում, որ հենց օդանավակայանում իրավապահները Կաթողիկոսին «մեկուսացնեն»․ «Ժողովուրդ» Անգամ մոլեռանդ աթեիստներն են սրբազաններին այցելում․ «Հրապարակ» Ամբողջ երկիրը դարձել է Փաշինյանի վախերի ու տագնապների պատանդը. «Փաստ»Իշխանության օգնական-փորձագետները՝ պատգամավորի թեկնածու․ «Ժողովուրդ» Իր ղեկավարած մարզում պատարագների չի մասնակցում. «Հրապարակ» Խիստ վտանգավոր մեսիջներ Արևմուտքից. «Փաստ»Կալորիականության սահմանափակումը դանդաղեցնում է ուղեղի բջիջների ծերացումը․ Aging CellԱՄՆ-ը խաղաղության համաձայնագրերի կնքումը համարում է համաշխարհային կայունության ամրապնդման գրավականՀայաստանում շրջանառվում են ռինովիրուսի, բոկավիրուսի, ադենովիրուսների, պարագրիպի հարուցիչները, կորոնավիրուսային հիվանդության հարուցիչներ, նաև գրիպի A տեսակի վիրուս. ԱՆՊուտինը և Մոդին հայտարարություն են ընդունել, որում ուրվագծվում է երկրների համագործակցության առաջնահերթություններըՔաղաքացին ցանկացել է նետվել Երևանի Հաղթանակ կամրջից Մենք կարգավորել ենք 8 պատերազմ, կկարգավորենք նաև ռուս-ուկրաինականը. Թրամփ «Հրանտ Թոխատյանի կինը լինելը կրկնակի պատասխանատվություն է». Լուիզա Ներսիսյան ԱԺ-ն հաստատել է Հայաստանի 2026 թվականի պետական բյուջեն Մեսսին չի մասնակցի Ֆինալիսիմային․ արգենտինացին հանդես է եկել հայտարարությամբ Ալբանիայում ձերբակալվել է արհեստական բանականությամբ գեներացված նախարարը Կալլասը ցանկանում է հեռու մնալ ԵՄ կոռուպցիոն սկանդալից. Berliner Zeitung 75 տարեկանում կյանքից հեռացել է «Mօrtal Konbat» սերիալի դերասան Քարի-Հիրոյուկի ՏագավանԽաղացողները մեքենա չեն․ «Արսենալի» գլխավոր մարզիչը դժգոհ է խաղային խիտ գրաֆիկից Ադրբեջանական մշակութային ժառանգության վերականգնումն ու պաշտպանությունը Հայաստանում մեր ժողովրդի օրինական պահանջն է. Ալիև Ադրբեջանցիները վնասել են Արցախի Սուրբ Ամենափրկիչ Վանքը․ մանրամասներ Դիվանագիտական նորմերի խախտում. Ռուսաստանից արձագանքել են Փաշինյանին
Ամենադիտված