Հայերեն
ՔԱՂԱՔԱԿԱՆՈՒԹՅՈՒՆ ՀԱՍԱՐԱԿՈՒԹՅՈՒՆ ՄՇԱԿՈՒՅԹ ՍՊՈՐՏ ՄԱՄՈՒԼԻ ՏԵՍՈՒԹՅՈՒՆ ՏՆՏԵՍՈՒԹՅՈՒՆ ՖՈՏՈ ՎԻԴԵՈ ՎԵՐԼՈՒԾՈՒԹՅՈՒՆՆԵՐ ՊԱՏՄՈՒԹՅԱՆ ԱՅՍ ՕՐԸ ՄԻՋԱԶԳԱՅԻՆ ԱՄԵՆԱԸՆԹԵՐՑՎԱԾ ԻՐԱՎՈՒՆՔ


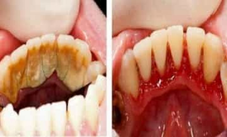
Ինչպես հեռացնել ատամնաքարերն ու ձյունաճերմակ ժպիտ ունենալ

ՀԱՍԱՐԱԿՈՒԹՅՈՒՆ

Չնայած նրան, որ այսօր ստոմատոլոգիական հայտնի պրոցեդուրաներից է ատամնաքարերի հեռացումը, շատերը չեն կարող իրենց նման հաճույք թույլ տալ:

Արժե՞ արդյոք ավել վճարել, եթե կարելի է տնային պայմաններում հեշտությամբ հեռացնել ատամնաքարերը:

  Դրա համար անհրաժեշտ է՝  – սև բողկ – կիտրոնի հյութ

 – սև բողկ – կիտրոնի հյութ Перейти ArtStudio у Московского вокзала. 5 мин от Невского. Высокодоходные инве­стиции. Цена на старте от 5,8 млн рубartstudio.rbi.ru Объявление скрыто. СкрытьНе интересуюсьНадоелоСпамМешает Яндекс.Директ 

   Պատրաստման եղանակը՝ Ոչ մեծ բողկը քերեք, ապա մի քանի կաթիլ կիտրոնի հյութ ավելացրեք: 

Ստացված խառնուրդն անհրաժեշտ է ծամել օրական 3 անգամ 2 րոպե:

Յուրաքանչյուր նման պրոցեդուրայից հետո անհրաժեշտ է մարքել ատամներն ատամի մածուկով: Արդեն 2 շաբաթ անց արդյունքն ակնհայտ կլինի:  

 

«Ես պահում էի հայրիկին ու ինքն էլ չէր կոտրվում». Լիլիթ Թոխատյանը՝ հայրիկի առողջական խնդրի ու բարդ փուլի մասինԱՄՆ-ը կարողացել է վնաuել կամ nչնչացնել Իրանի ավելի քան 155 նավ ՌԴ Պերմ քաղաքում դպրոցականը դանակnվ hարձակվել է ուսուցչուհու վրա. վերջինս մաhացել էԾանր մարմնական վնաuվածք պատճառած տղամարդը ձերբակալվել, ապա կալանավորվել էՓարիզում կկայանա Սփյուռքի զորաշարժին նվիրված խորհրդաժողով. ՀՅԴ Ապօրինի պահվող զենք-զինամթերքի կամավոր հանձնումներ՝ համայնքային ոստիկանների աշխատանքի արդյունքում Սուրբ Հովհաննես Մկրտչի մասունքը կբերվի Մխչյան՝ հավատացյալների օրհնության համար Ապրիլի 15-ից հին թղթադրամները դուրս կգան շրջանառությունից OpenAI-ը հայց է ներկայացրել ու հորդորել հետաքննել Իլոն Մասկի «հակամրցակցային վարքագիծը» Իրանի ԻՀՊԿ-ն սպառնացել է ԱՄՆ-ին ու նրա դաշնակիցներին 36-ամյա Արկադի Սիրեկանյանը հետախուզվում է Ղազախստանը մերժեց Փաշինյանի սադրանքը Խարգ կղզու վրա հարձակում է եղել, պայթյուններ են լսվել Փաշինյանը եկեղեցու դեմ պայքարը ներառել է ՔՊ ծրագրում Ավելի քան 14 միլիոն իրանցիներ պատրաստակամություն է հայտնել զոhաբերել իրենց կյանքը՝ երկիրը պաշտպանելու համար․ Փեզեշկիան Կհեռացնե՞ն Անդրանիկ Քոչարյանին ՔՊ ցուցակից Ստամբուլում Իսրայելի հյուպատոսության վրա hարձակում է եղել, վիրավnրվել է 2 ոստիկան, hարձակվողներից 2-ը uպանվել են (տեսանյութ) Միրզոյանն ու Կալասը քննարկել են ՀՀ-ԵՄ գործընկերության օրակարգի կյանքի կոչմանն ուղղված աշխատանքները Ողջ հանրապետությունում սպասվում են տեղումներ, նաև ձյան տեսքով Պայթյուններ են որոտացել Յազդ քաղաքի մոտակայքում ու Թեհրանի աերոտիեզերական ենթակառուցվածքների տարածքում Ստամբուլում Իսրայելի հյուպատոսության մոտ տեղի ունեցած հրաձգության հետևանքով կա 2 զոհ Փաշինյանի սարսափն ու Ընտրական օրենսգրքի փոփոխությունը Կրակnց՝ Էկոնոմիկայի նախարարությունում. կա տուժածՄոջթաբա Խամենեին անգիտակից վիճակում է և անկարող է կառավարել Իրանը․ «The Times» Հայ Առաքելական Եկեղեցին այսօր նշում է Սուրբ Մարիամ Աստվածածնի Ավետման տոնը Վերաքննիչ քրեական դատարանը վարույթ է ընդունել 18-ամյա Դավիթ Մինասյանի փաստաբանների բողոքը Իմիջային աղետ. «թավշյա հեղափոխությունից»՝ տոտալ մերժում. «Փաստ»Հայաստանում կառավարության կողմից Եկեղեցու դեմ ուղղված գործողություններին հանրային արձագանք է ձևավորվումԵրևանին հիշեցրել են, որ նորվեգական կարմրախայտը նման չէ հայկական կարմրախայտինԵվրոպան չի փոխարինի Ռուսաստանին. «Փաստ»1 զոհ, 2 վիրավոր․ ինչ է կատարվել «Շանգրի-Լա» խաղատան մոտԻ՞նչ փոխարժեքներ են սահմանվել այսօր«Ընկերներ ունեմ այստեղ, ես հող եմ պահում, ինչպե՞ս կարող եմ գալ». սերժանտ Սպարտակ Մնացականյանն անմահացել է նոյեմբերի 9-ին՝ զինադադարից ժամեր առաջ. «Փաստ»Խաղաղության բանալին ուժն է. «Ուժեղ Հայաստան»-ի անվտանգության տեսլականը Քաղաքագետ Քոչարյան. Հայաստանը ռիսկի է դիմում մնալ կոտրած տաշտակի առաջՊուտինը Փաշինյանին դժվար ընտրության առաջ է կանգնեցրելԸնտրության դեմ հանդիման. իշխանափոխության «անատոմիան». «Փաստ»Մանևրելու սահմանը. ինչ վտանգների առաջ կարող է կանգնել Հայաստանը Ռուսաստանի հետ հարաբերությունների խզման դեպքում Նոր մանրամասներ՝ Աբովյանում սպանված երիտասարդի գործից․ երեք անձ կալանավորվել է Մայրության և գեղեցկության օր. պատմության այս օրը (07 ապրիլ)Ասում եք՝ ով ում երաշխավո՞րն է. «Փաստ»«Որքան ընտրություններին մասնակցությունը մեծ լինի, այնքան Նիկոլ Փաշինյանի վերընտրվելու շանսերը քչանալու են». «Փաստ»Արտաքին քաղաքականության «ներքաղաքականացումն» ու դատարկ «լոպպազությունը». «Փաստ»Որևէ մեկը օրենք, կարգ ու կանոն չի իմացե՞լ. «Փաստ»Ինչո՞ւ թույլ չեն տվել ներկայանալ Արամ Խաչատրյանի ստեղծագործություններով. «Փաստ»ՔՊ-ում կրկին իրար փոր են թափում. «Հրապարակ» 17 հաղորդումից մեկն է միայն ելք ունեցել այն էլ՝ նկատողություն. դատախազության ձախողումը. «Ժողովուրդ» Ադրբեջանում հանքարդյունաբերական բումի են պատրաստվում, իսկ մե՞նք...«Փաստ»Էլիտան բոյկոտել է. «Հրապարակ» Խաղաղության մասին խոսող իշխանությունը՝ զորահանդեսի է պատրաստվում. «Ժողովուրդ»
Ամենադիտված